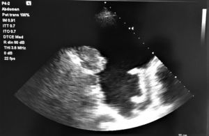
Las masas malignas de la pleura incluyen el mesotelioma, el linfoma y las metástasis. Ecográficamente podemos visualizar un engrosamiento irregular, a veces nodular, asociado a importante derrame pleural (fig. 1), caracteriza el mesotelioma pleural maligno, como posteriormente se identificó en el estudio histológico1.
En el caso de la ecografía, sus indicaciones incluyen además de la localización de derrames pleurales pequeños o encapsulados para su punción o biopsia, la caracterización del líquido o la superficie pleural, o dirigir el punto de entrada de la toracoscopia. Se recomienda su utilización para dirigir todas las técnicas invasivas pleurales, y si es posible debe realizarse inmediatamente antes de la técnica, evitando la punción en el punto marcado tiempo antes2.
Sin embargo, la ecografía torácica tiene un papel complementario, la TAC es la modalidad de imagen principal en el diagnóstico. En la realización del estudio torácico de diagnóstico y extensión de la enfermedad debemos incluir el abdomen, o por lo menos abdomen superior para valorar posible extensión por contigüidad (ya que esta es más frecuente que la extensión a distancia) y afectación linfática peridiafragmática o, menos frecuente, retroperitoneal.
Pese a la primordial importancia de la TAC en el estudio de extensión, la RM y la PET son otras modalidades de imagen que pueden aportar información valiosa en cuanto a la invasión del tumor a estructuras adyacentes y la extensión de la enfermedad (incluso metástasis distales ocultas), respectivamente. Esto proporciona información adicional de cara a la planificación terapéutica y al pronóstico del paciente3.








