Chronic bronchial infections (CBI) pose a substantial clinical challenge in bronchiectasis, where Pseudomonas aeruginosa remains the most studied pathogen. Nevertheless, Achromobacter xylosoxidans has emerged as a challenging opportunistic pathogen with limited therapeutic options [1]. Herein, we present a case of refractory A. xylosoxidans CBI successfully managed with inhaled levofloxacin, highlighting its potential role in non-cystic fibrosis (CF) bronchiectasis.
A 61-year-old Bulgarian woman (ex-smoker 10 pack-years) with hypertension and stable monoclonal gammopathy of undetermined significant was diagnosed with bilateral bronchiectasis in 2015 (middle lobe and lingula, “tree-in-bud” pattern). During follow-up, she developed recurrent respiratory infections. P. aeruginosa was isolated in 2019 and persisted despite multiple eradication attempts (2 courses of ciprofloxacin for 3 weeks and nebulized colistin) and maintenance therapy to reduce frequency of exacerbations (azithromycin, airway clearance and mucolytics). Inhaled colistin was initiated in June 2021 but discontinued by February 2022, after 8 months of treatment, due to intolerable cough.
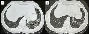
In 2024, after three bronchiectasis exacerbations requiring empirical antibiotics, sputum and bronchoscopy cultures revealed A. xylosoxidans. Two courses of trimethoprim–sulfamethoxazole failed to eradicate the microorganism, and CT imaging revealed progressive cylindrical bronchiectasis with worsening “tree-in-bud” opacities and a Bronchiectasis Severity Index (BSI) score of 7 (Fig. 1A). Nebulized levofloxacin (240mg twice daily, on–off 28-day cycles) was initiated for CBI caused by A. xylosoxidans, in addition to patient's existing maintenance therapy, leading to: marked reduction in daily sputum, resolution of exacerbations, improved lung function and CT findings (Fig. 1B), and sustained microbiological clearance over six months.
(A) Baseline CT scan demonstrating bilateral bronchiectasis in the middle lobe and lingula, accompanied by “tree-in-bud” pattern and endoluminal secretions, with associated volume loss. (B) Follow-up CT after six months of nebulized levofloxacin showing improvement and decreased “tree-in-bud” opacities.
Achromobacter spp. are obligately aerobic, non-fermenting gram-negative bacilli, with A. xylosoxidans being the most clinically significant species. While particularly relevant in CF, where it acts as a chronic respiratory pathogen associated with accelerated lung function decline, increased exacerbations and poor post-transplant outcomes. It also causes healthcare-associated infections including pneumonia, bacteremia, and device-related infections in non-CF population. [1,2]
Similar to P. aeruginosa, Achromobacter spp. employ biofilm formation and complex resistance mechanisms, complicating eradication. Notably, co-infection with P. aeruginosa is common [1,2].
Achromobacter spp. demonstrate intrinsic resistance to multiple antibiotics (most cephalosporins, aztreonam, macrolides and aminoglycosides). Variable susceptibility is seen with trimethoprim– sulfamethoxazole, ceftazidime, piperacillin, carbapenems, colistin and fluoroquinolone, though acquired resistance to carbapenems and fluoroquinolones is increasing [1,2].
No standardized protocols exist for Achromobacter infections. Current approaches rely on systemic and/or inhaled antibiotics. Inhaled antibiotics offer high local concentrations with minimal systemic exposure, particularly effective against biofilm. Although most evidence comes from CF populations, observational data suggest inhaled antibiotics may delay or reduce bacterial recurrence compared to systemic therapy alone [2,3]. A real-world study by Marcos et al. [4] further supports this approach, demonstrating that aerosolized imipenem may be a viable therapeutic option for CF patients colonized by A. xylosoxidans with poor clinical evolution.
Among therapeutic options, inhaled levofloxacin is uniquely advantageous. Firstly, it exhibits a dual mechanism of action by inhibiting both DNA gyrase and topoisomerase IV, thereby reducing the risk of bacterial resistance development. Moreover, its broad-spectrum activity covers a wide range of Gram-negative (Achromobacter spp., P. aeruginosa, Stenotrophomonas, Burkholderia spp.) and gram-positive (Staphylococcus aureus) microorganisms. Furthermore, levofloxacin demonstrate superior biofilm penetration compared to inhaled tobramycin or aztreonam, as evidenced in in vitro studies [5].
Inhaled levofloxacin may represent an effective therapeutic option for refractory A. xylosoxidans bronchial infection in patients with bronchiectasis. This case highlights the need for further research to define optimal treatment protocols and duration for such challenging infections. Consideration of this approach is warranted in non-Pseudomonas CBI or unresponsive to standard eradication attempts.
CRediT authorship contribution statementAll authors participated in the diagnosis and treatment of the clinical case described, as well as in the writing and preparation of the manuscript.
Ethical and informed consentOral informed consent was obtained from the patient for the publication, clinical data and images submitted.
Declaration of generative AI and AI-assisted technologies in the writing processThe authors did not use artificial intelligence in the preparation of this manuscript.
FundingThe authors declare that they have not received any funding.
Conflicts of interestThe authors declare that they have no conflicts of interest to disclose.







