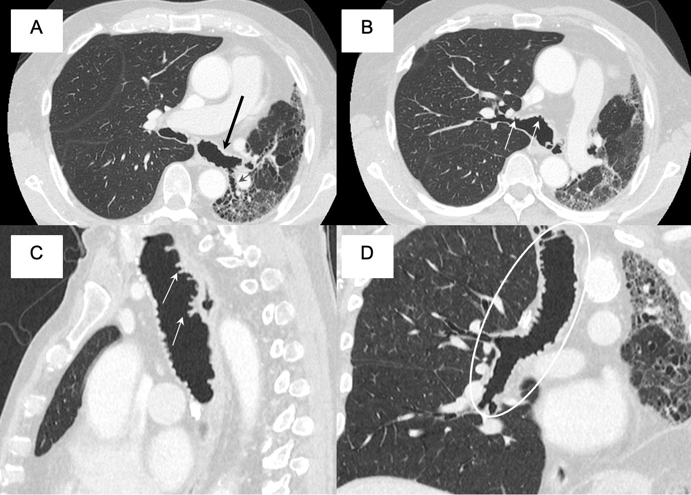
We present the case of a 72-year-old patient with a history of right lung transplantation (February 2018) treated with tacrolimus and rapamycin, who in October 2024 presented deterioration of lung function. A thoracic CT scan was performed in which tracheobronchial involvement was observed, with irregularity of the posterior wall of the trachea and bronchi, and formation of saccular dilations and tracheal pseudomembranes (Fig. 1). All this suggested a pseudomembranous tracheobronchitis secondary to subacute fungal infection. A bronchoscopy confirmed the presence of Aspergillus terreus, and treatment with isavuconazole and inhaled voriconazole was administered. Pseudomembranous tracheobronchitis is a condition in which pseudomembranes form in the trachea and bronchi, obstructing the airways and making it difficult to breathe. Its etiology can be bacterial, fungal, or related to connective tissue diseases. Chest CT scans show thickening of the tracheal and bronchial walls (Fig. 1), pseudomembranes (Fig. 1), airway obstruction, and pulmonary involvement such as atelectasis or consolidation [1]. Treatment is based on identifying the cause and giving appropriate treatment [2–4].
(A, B) CT scan showing formation of saccular dilations and tracheal pseudomembranes on the trachea and main bronchi (black and white arrows). (C) CT scan in a sagittal view showing affectation of the anterior and posterior walls of the trachea (white arrows). (D) MPR reconstruction of the trachea and right main bronchus showing an extensive mural disease (white ellipse).
The authors declare that they have not used Artificial Intelligence tools in the writing of this paper.
FundingNone declared.
Conflicts of interestThe authors declare that they have no conflicts of interest.







