Bronchial artery embolization (BAE) is the gold-standard intervention for massive hemoptysis [1,2]. It provides definitive hemorrhage control through occlusion of systemic arteries, including bronchial arteries (BAs) and non-bronchial systemic arteries (NBSAs), which supply hypertrophied vascular networks underlying most hemoptysis etiologies [3,4]. However, persistent challenges in culprit artery identification remain a crucial barrier to optimal outcomes [3]. Historically used thoracic aortography has inherent limitations, such as insufficient soft-tissue resolution and projectional superimposition artifacts, frequently result in incomplete vessel characterization [5]. While preprocedural conventional CT angiography (CTA) improves arterial mapping [5,6], it suffers from critical challenges in acute settings: (a) hemodynamically unstable patients may cannot tolerate separate CT and angiography suite transfers [7]; (b) intravenous contrast administration leads to pulmonary circulation interference, obscuring the visualization of systemic arteries abutting the pulmonary circulation; and (c) systemic contrast agent dilution impairs optimal vascular enhancement [8,9]. Angio-CT integrates sliding-gantry CT with flat-panel angiography within a hybrid suite, enabling intraprocedural cross-sectional imaging. Compared with widely-used intra-procedural cone beam CT, Angio-CT offers a larger field of view and scanning range, and superior soft-tissue resolution in general [10]. Recent oncologic interventions demonstrate Angio-CT's ability to reduce procedural time while improving target lesion conspicuity [11]. For hemoptysis management, preliminary evidence suggests the potential of Angio-CT in identifying culprit systemic arteries [8], further data on its application in BAE for massive hemoptysis especially regarding clinical outcomes have yet to be reported. This single-arm study aims to investigate the efficacy and safety of intraprocedural Angio-CT-guided BAE as one-stop management for massive hemoptysis.
This prospective single-center study was approved by institutional review board (approval number: 2022-0755-01) and registered at ClinicalTrials.gov (NCT05786781). Informed consent was obtained from all participants or their representatives. Between March 2023 and September 2024, adult patients presenting with acute massive hemoptysis were consecutively recruited. Briefly, participants were referred to interventional radiology suite and received BAE immediately after enrollment. During BAE, Angio-CT was firstly acquired to identify culprit systemic arteries. Subsequently, selective catheterization and angiography of the arteries were performed accordingly, which were regarded as the reference standard for culprit arteries. The confirmed culprit arteries were finally embolized. Technique success, in-hospital clinical success, procedural radiation exposure, and adverse events (AEs) were recorded. Participants were followed up for 3 months for evaluation of recurrence. A post hoc review was performed to further investigate the features of culprit arteries. Detailed methods are presented in Supplementary Materials.
Thirty participants (mean age, 59.0±16.5 years [SD]; 26 male) were enrolled following exclusion of six who had undergone prior BAE. Baseline characteristics are summarized in Table 1. Notably, two were intubated and receiving mechanical ventilation with moderate sedation at the time of procedure. Seventy-three culprit systemic arteries were identified on Angio-CT, and all of which were subsequently confirmed by selective angiography, yielding a matching rate of 100% (73/73 arteries). Among these, 55 were orthotopic BAs, including 19 right intercostobronchial trunks, 16 left BAs, 14 common BAs, and 6 right BAs. Additionally, 5 ectopic BAs were identified: 3 originating from subclavian artery, 1 from aortic arch, and 1 from internal mammary artery (Fig. 1A–C). The remaining 13 culprit arteries were NBSAs, comprising 7 intercostal arteries, 4 inferior phrenic arteries, 1 internal mammary artery, and 1 thyrocervical trunk. The number of confirmed culprit arteries per participant ranged from 1 to 7. The proximal diameter of all culprit arteries measured 2.4±0.7mm on CT images and 2.4±0.8mm on selective angiography, demonstrating strong agreement (Spearman's rho=0.932, P<.001). Angiographic findings revealed enlargement and/or tortuosity in all confirmed culprit arteries. Parenchymal staining was observed in 91.8% (67/73) of arteries, shunts into pulmonary vessels in 28.8% (21/73), and contrast extravasation in 1.4% (1/73). Notably, Angio-CT successfully identified 90.5% (19/21) of the shunts into pulmonary circulation, as evidenced by opacification of pulmonary vessels on Angio-CT images (Fig. 1D–F). Embolization succeeded in 72 of 73 confirmed arteries, resulting in a technique success rate of 96.7% (29/30 participants). Technique failure occurred in a participant with an ectopic BA originating from the left subclavian artery, which could not be re-catheterized following accidental catheter dislodgement. Despite this, the participant achieved in-hospital clinical success, likely attributable to successful embolization of the remaining three culprit arteries. In-hospital clinical success was achieved in 29 participants (96.7%), with 18 experiencing complete cessation and 11 demonstrating a clinically significant reduction in hemoptysis. No in-hospital deaths occurred. One participant with hemoptysis secondary to lung cancer experienced clinical failure, where transcatheter pulmonary angiography performed 4 days following initial BAE demonstrated no evidence of pulmonary vascular abnormalities associated with hemoptysis. Early recurrence developed in two patients (6.9%), both with bronchiectasis, at 29 and 47 days following BAE, respectively. Repeat Angio-CT-guided BAE was performed in both cases, with Angio-CT and selective angiography identifying recanalization of previously embolized arteries as the cause. No evidence of missed culprit vessels or the development of new collateral circulation was observed.
Participant characteristics.
| Characteristics | Value |
|---|---|
| Age (year) | 59.0±16.5 |
| Gender | |
| Male | 26 (86.7) |
| Female | 4 (13.3) |
| Body mass index (kg/m2) | 22.5±4.0 |
| Smoking | 22 (73.3) |
| Hypertension | 8 (26.7) |
| Diabetes | 1 (3.3) |
| Hemoptysis amount (mL/24h) | 379.7±274.6 |
| Etiology of hemoptysis | |
| Bronchiectasis | 10 (33.3) |
| Lung cancer | 8 (26.7) |
| Pneumonia | 7 (23.3) |
| Tuberculosis | 1 (3.3) |
| Pulmonary sarcoidosis | 1 (3.3) |
| Unclear | 3 (10) |
Unless otherwise indicated, data are numbers of participants, with percentages in parentheses. Body mass index was calculated as weight in kilograms divided by the square of height in meters.
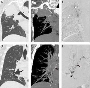
Intraprocedural Angio-CT and confirmatory angiography in a 56-year-old woman with lung cancer-related massive hemoptysis: (A) coronal CT image (lung window) demonstrates a right upper lobe tumor (white arrow). (B) Coronal CT maximum intensity projection image (mediastinal window) reveals an ectopic bronchial artery (white arrowhead) arising from the right internal mammary artery, supplying the tumor (white arrow). (C) Selective angiography image of the right internal mammary artery confirms the culprit artery (white arrowhead) and tumor parenchymal staining (white arrow). Intraprocedural Angio-CT and confirmatory angiography in a 47-year-old man with bronchiectasis-related massive hemoptysis: (D) Coronal CT image (lung window) demonstrates cystic lesions (black arrow) in the right lower lobe. (E) Coronal CT maximum intensity projection image (mediastinal window) reveals a dilated tortuous bronchial artery branch (black arrow) supplying the lesion, with adjacent pulmonary vessel opacification (black arrowhead), indicative of systemic-pulmonary shunt formation. (F) Selective angiography image of the bronchial artery confirms the culprit hypertrophic branch (black arrow) and its direct communication with pulmonary vasculature (black arrowhead).
Radiation exposure consisted of two components: (a) for Angio-CT scans, the volume CT dose index was 7.6±2.7mGy and dose-length product was 271.0±102.2mGycm; (b) for digital subtraction angiography (DSA) and fluoroscopy, the total air kerma was 538.9±429.7mGy and total dose-area product was 13142.4±11979.2μGym2. The number of DSA runs averaged 7.9±3.4 sessions, while fluoroscopy time was 22.7±11.9min. The total procedural duration was 72.9±34.0min. The contrast usage per procedure was 101.4±28.0mL, which included the fixed 30mL allocated for Angio-CT. Consequently, total iodine administered per procedure was 40.6±11.2g. The most common AE was chest or back pain, occurring in 11 participants (36.7%). Other AEs included fever in 5 participants (16.7%), nausea and vomiting in 4 participants (13.3%), and transient groin hematoma in 1 participant (3.3%). All reported AEs were classified as grade 1 or 2 according to the CTCAE version 5.0, with 11 graded as 1 and 10 graded as 2. No severe AEs, such as spinal cord infarction, were observed during the follow-up period.
The challenges of conventional CTA in acute massive hemoptysis necessitate exploration of novel image-guided approaches. In this study, intraprocedural Angio-CT shows an excellent ability to identify culprit systemic arteries, confirmed by selective angiography with a matching rate of 100% (73/73 arteries), facilitating technique success in BAE. This performance surpasses the 98.8% concordance (238/241 arteries) reported by Li et al. in a retrospective analysis of conventional CTA for mild-to-massive hemoptysis [5], and aligns with prospective evidence supporting Angio-CT's superior arterial localization compared to conventional CTA [8]. Mechanistically, transcatheter intraarterial contrast administration achieved optimal opacification of aortic branches, while rapid CT acquisition – initiated 3s after contrast injection – eliminated pulmonary circulatory interference inherent to conventional CTA timing protocols. Furthermore, it also helps to identify abnormal shunts into pulmonary circulation. The 96.7% technical success rate (29/30 participants) reflects synergistic advancements in image-guided intervention, including intraprocedural Angio-CT guidance and the evolution in embolization materials and techniques. Notably, the mean procedural duration was 72.9min, including time for CT acquisition, suggesting the time-efficient integration between different imaging modalities. Based on targeted embolization of culprit arteries identified on Angio-CT, BAE achieves encouraging efficacy in controlling massive hemoptysis. A recent meta-analysis encompassing 24 studies of both massive and non-massive hemoptysis reported a pooled clinical success rate of 92.46% [12]. Regional outcomes from a Chinese retrospective cohort revealed an 84.8% success rate for massive hemoptysis management with BAE [13]. Remarkably, our institutional data demonstrated superior in-hospital outcomes, with clinical success achieved in 96.7% (29/30) of cases and no procedure-related mortality. Early recurrence rate in our cohort (6.9% [2/29] at 3 months) compared favorably with existing literature [12]. This contrasts with Wang et al.’s reported 12.8% 1-month recurrence rate following BAE for idiopathic bronchiectasis-related moderate-to-massive hemoptysis [14], and a 41.7% six-month recurrence risk observed in lung tumor-associated cases [15]. The enhanced diagnostic ability of intraprocedural Angio-CT in localizing culprit vessels likely contributed to our results, given that incomplete embolization due to missed arteries remains a predominant cause of rebleeding [16]. The safety profile is clinically acceptable. While radiation exposure remains a primary concern with Angio-CT due to additional CT acquisitions [11], this hybrid imaging modality offers critical anatomical delineation of target vasculature, thereby enhancing the precision of subsequent selective catheterization, angiographic assessment, and embolization procedures. It may substantially reduce cumulative fluoroscopy duration, DSA acquisitions, and consequently total procedural radiation exposure, simultaneously decreasing contrast usage. A recent analysis comparing BAE with versus without preprocedural conventional CTA reported trends toward lower radiation with CTA (fluoroscopy time: 30.7 vs. 34.9min; air kerma: 771.5 vs. 1091.7mGy), although the differences were not statistically significant [17]. However, this protocol with CTA significantly increased iodine consumption (70.6 vs. 49.2g, P=.001). Notably, our cohort achieved superior radiation safety parameters (fluoroscopy time: 22.7min; air kerma: 538.9mGy) with concurrently reduced contrast utilization (40.6g total iodine load). The safety profile was further corroborated by the absence of grade ≥3 AEs, aligning with established evidence [12].
There are several limitations. First, single-center design and limited size (n=30) may affect generalizability. Second, single-arm design inhibits direct comparison to conventional CTA. Third, the exclusion of pulmonary circulation-derived hemoptysis (approximately 5% of hemoptysis cases) [4] precludes evaluation of Angio-CT's utility in this critical subgroup. Fourth, long-term outcomes remain unassessed. Fifth, considering constraints on procedural duration and contrast usage, a comprehensive search was not performed for potential culprit arteries which may not be identified on Angio-CT. Finally, this Angio-CT-based technique does not present a steep learning curve. In essence, it integrates CT scanning and image interpretation into traditional BAE, for which our study provides a potential reference protocol. However, the availability of Angio-CT constitutes a barrier, particularly for non-tertiary institutions.
In conclusion, this pilot investigation demonstrates intraprocedural Angio-CT precisely identifies culprit systemic arteries during BAE for massive hemoptysis, achieving high technical and clinical success rates with low early recurrence and favorable safety.
CRediT authorship contribution statementW.H., T.Y., Z.W., and B.L. contributed to literature research, conceptualization and design of the study. S.S., H.L., C.Z., and B.L. contributed to management of participants. X.D. and F.X. helped with recruitment of participants. Y.R. performed the post hoc review. W.H. and T.Y. conducted the statistical analysis and drafted the manuscript. All authors contributed to the critical revisions and final approval of the manuscript.
Ethics approval and consent to participateThis study was approved by the Institutional Review Board of Union Hospital, Tongji Medical College, Huazhong University of Science and Technology (approval number: 2022-0755-01). This study was prospectively registered at ClinicalTrials.gov (NCT05786781).
Declaration of generative AI and AI-assisted technologies in the writing processThe author certifies that this manuscript contains no AI-generated content.
FundingThe work was supported by grant from National Key Research and Development Program of China (No. 2023YFC2413500).
Conflicts of interestThe authors declare not to have any conflicts of interest that may be considered to influence directly or indirectly the content of the manuscript.
Data availabilityThe datasets used and/or analysed during the current study are available from the corresponding author on reasonable request.








