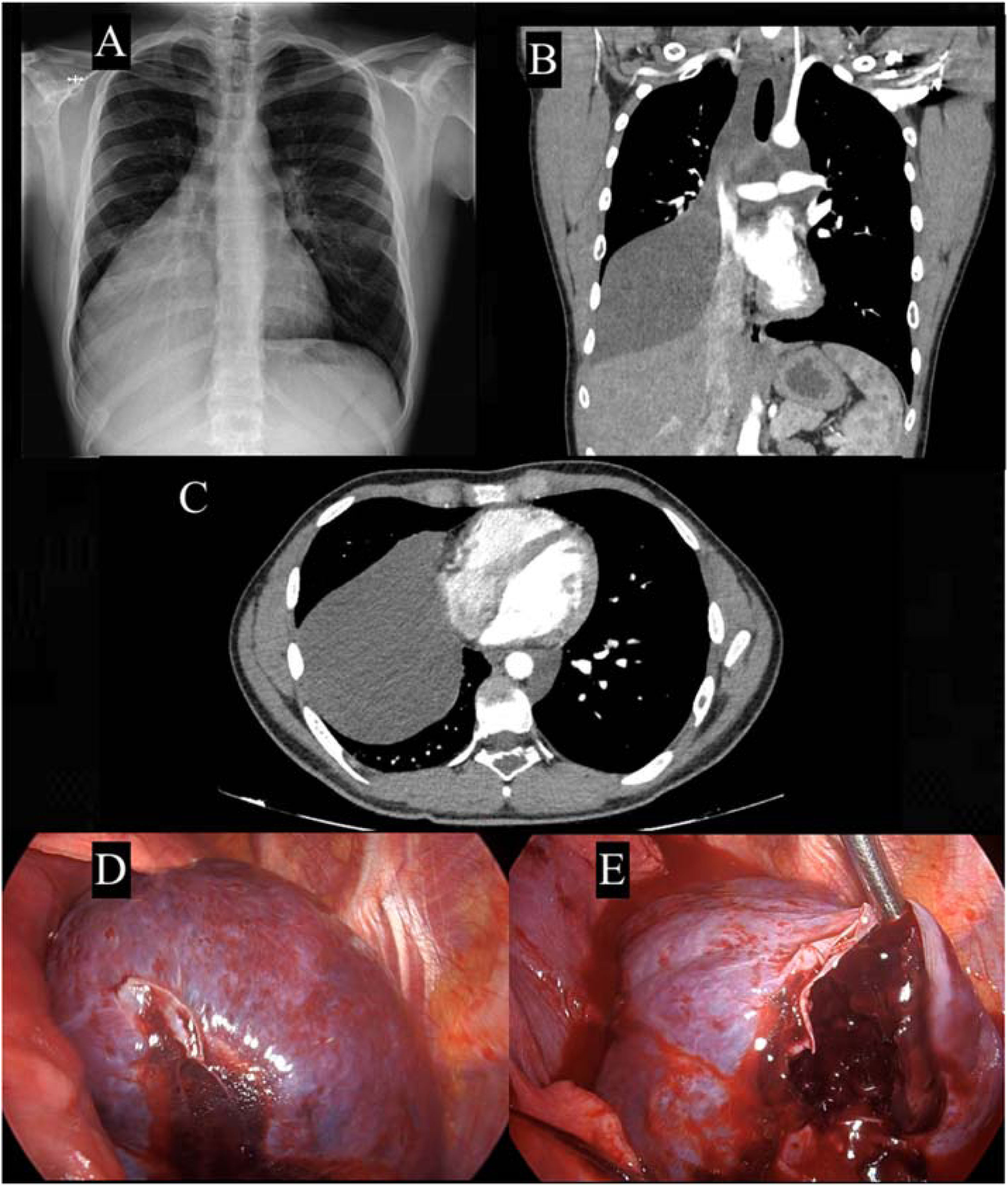
We present the case of a 19-year-old patient with history of recurrent non-chylous pleural effusions and a prior diagnosis of Gorham–Stout disease (GSD) based on a bone biopsy during childhood due to multiple osteolytic lesions. Admitted to the emergency department due to chest pain, a CT scan revealed a large pleuropericardial collection (Fig. 1A and B), for which he was referred to our centre. Surgery was indicated, with intraoperative findings of mediastinal lymphatic malformation with signs of complications, filled with blood and clots (Fig. 1C and D). Drainage and partial resection of the cystic lesion were performed, followed by analysis, leading to a diagnosis of cystic cavity lined by endothelial-type squamous epithelium without atypia, consistent with lymphangioma. Immunohistochemical staining showed positiveness for D2-40, CD34, and CD31, supporting a lymphatic nature. Gorham–Stout disease is a rare disorder characterized by osteolysis due to lymphangiomatous tissue progression. Typically manifests as osteolysis of the axial bone with pain as the most common symptom.[1] One of the known complications is the development of chylothorax.[2] Spontaneous internal bleeding from a cystic malformation is an extremely rare finding and life-threatening condition in a patient with Gorham–Stout disease.
There is no material produced with the help of any artificial intelligence software or tool in this article.
FundingThis article did not receive any specific grant from funding agencies in the public, commercial, or not-for-profit sectors.
Conflicts of interestsThe authors declare that they have no conflict of interest associated with the publication of this article.







